
近日,杭州易文赛生物技术有限公司和浙江大学附属邵逸夫医院联合申报的“脐带间充质干细胞治疗特应性皮炎的临床研究”临床研究项目经过多轮审核后在国家卫健委成功备案(备案号:MR-33-23-040231),并将快速启动该项目的临床研究。

间充质干细胞(MSCs)研究证实具有免疫抑制作用,且不良反应较少,可用于治疗自身免疫性疾病或炎症性皮肤病,如移植物抗宿主病、红斑狼疮、系统性硬皮病及类风湿性关节炎等。大量研究证实干细胞治疗特应性皮炎有确切的疗效,特别是对传统治疗无效的特应性皮炎治疗疗效良好,安全性高,干预后无明显不良反应。

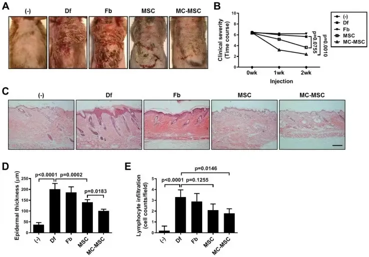
易文赛公司开展用人脐带组织来源的间充质干细胞在治疗特应性皮炎上进行了深入研究。多项研究表明,通过调节多个靶标,间充质干细胞可以抑制特应性皮炎的过敏性进展,治疗特应性有良好的疗效。目前国内无相关企业在开展干细胞治疗特应性皮炎相关产品研发,易文赛和邵逸夫医院联合研发干细胞治疗特应性皮炎为国内首创。

近年来,国家连续出台相关政策大力支持着细胞治疗临床前沿医疗技术研究,本次临床研究项目的启动和实施,将进一步推动干细胞治疗临床试验成果转化以及再生医学产业的发展。作为本项目的细胞制剂提供单位,易文赛将充分结合自身技术优势,整合科研团队和技术力量,提供优质的干细胞,确保干细胞的安全性、稳定性、有效性,为项目的顺利实施提供有力支持。易文赛公司将继续聚焦细胞药物研发及细胞转化应用,为保障人类健康,厚积薄发,勇往直前!
免责声明:此文内容为本网站转载企业资讯,仅代表作者个人观点,与本网无关。所涉内容不构成投资、消费建议,仅供读者参考,并请自行核实相关内容。